Sequim Sequim Prosthodontist Dr. Scott Brooksby and his wife

L. Scott Brooksby, DDS, DICOI

680 W. Washington St Ste. E102

Sequim, WA 98382

drscottbrooksby@gmail.com

360-207-2133

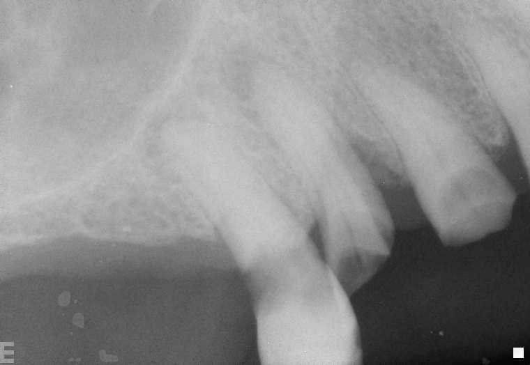
DIGITAL XRAY OF ABCESS

The shadows at the end of the roots are dental abcesses.  Although not always painful, if not treated can really hurt.  These teeth can be saved and used as supports for an over denture. It may be possible to remove teeth, allow the area to heal and place implants which may a longer life expectancy.